Dental Implants

Losing a tooth can change your life in a number of different ways. If you lose a tooth that is visible when you smile, it’s probably the first thing people will notice about you when you smile. If the tooth is hidden from view, you’ll still be aware of its loss because chewing will be more of a challenge.

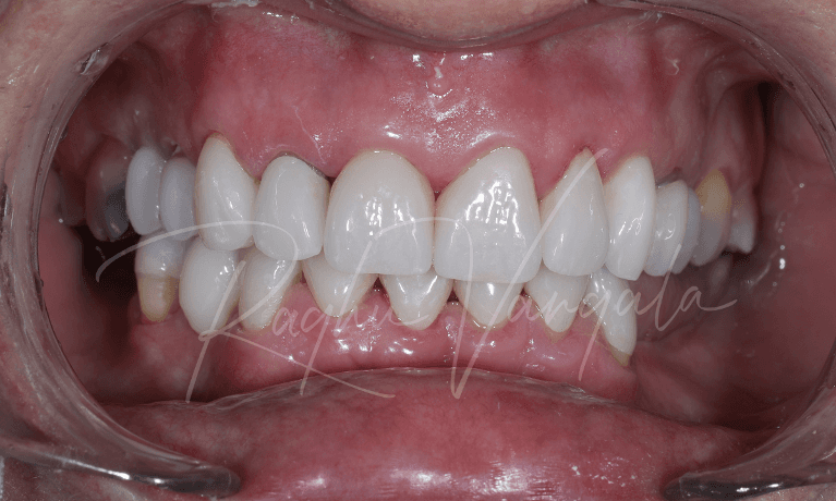
Dental implants can also change your life. Dental implants from our Tamworth, NSW dental surgery have the form and function that is closest to your natural tooth. Because dental implants are integrated into the jawbone, you can eat and clean your teeth as you would if you had a mouth full of healthy teeth.

If you have a dental implant, you probably won’t even give your tooth loss another thought because you will be able to smile and chew normally again. If you have a dental implant, you can rest assured that you made a good choice for today—and possibly for the rest of your life since dental implants have been known to last that long.

The Problem with Missing Teeth

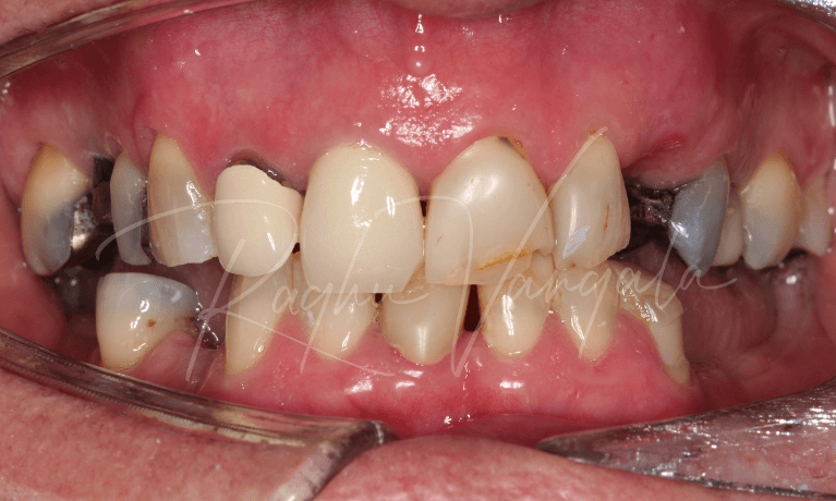
Some people might wonder if it’s necessary to replace a missing tooth—especially if it’s just one tooth. If that tooth is in the back of your mouth, you can probably hide the fact that you are missing a tooth. But tooth loss is more than just a cosmetic issue. It can negatively impact your oral health.

When left untreated, a missing tooth can cause irreversible damage to your jawbone and gums. It can also lead to the loss of more teeth. So there is more at stake than just the way your smile looks.

The Dental Implant Process

Long-lasting dental implants are made up of three parts:

  • The implant ‘root,’ usually made of titanium. This part of the implant is surgically placed into the jawbone. Over the next four to six months, it will integrate with the bone.
  • The abutment, which connects the root to the replacement tooth
  • The crown, which is the replacement tooth that connects to the abutment after the implant has healed

Some dental clinics refer patients to specialists for implant placement, but we handle the entire dental implant process here at our Tamworth, NSW dental surgery—from surgical placement of the implant to the restoration. With 3-D cone beam technology, we can precisely place dental implants to help patients enjoy the best outcomes.

Implant Supported Dentures

Dental implants are ideal for replacing an individual tooth. But if you need to replace multiple teeth, dentures still offer an excellent option. The main drawback to dentures, however, is their lack of stability. Even today’s dentures, which are better fitting than ever, still have issues with fitting securely.

With implant-supported dentures, patients enjoy the same stability as implants with their dentures.

Factors in Determining Good Candidacy for Dental Implants

One of the most important elements in determining who makes a good candidate for dental implants is whether or not there is enough jawbone to support the implant. If it turns out you do not have sufficient bone, there are other options, such as bone grafting, that can help you to progress to dental implants.

The best way to find out if dental implants are right for you is to contact our Tamworth, NSW dental surgery and schedule a booking. Our dentists can conduct a full examination and present all of your choices on the best tooth replacement options for your situation.


All surgical procedures carry risks, and we always encourage you to obtain a second opinion.