Smile Gallery
Images and videos seen on our website are published with the consent of our patients. They are not guarantees that your results will be the same or similar, nor are they a guarantee of any particular outcome. Results, risks, potential complications and recovery vary for each individual patient. The content on our page is general in nature and does not constitute medical advice. Before commencing your dental journey, you should seek medical advice from an appropriately qualified health practitioner and where appropriate, seek a second opinion.
*The images shown in our Smile Gallery are examples of dental treatments provided at our practice. Individual results will vary depending on each patient’s dental needs and circumstances.
*The images shown in our Smile Gallery are examples of dental treatments provided at our practice. Individual results will vary depending on each patient's dental needs and circumstances.
This patient presented to us with an unhappy smile and worn-down teeth. We have delivered her a customised treatment while conserving her teeth by bonding (teeth were not cut in this process) approach after braces. Patient is really happy with her new enhanced smile and more importantly, she preserved her teeth without cutting them.
This beautiful lady wanted a change with her smile as well as keeping them natural looking. We started by aligning her teeth and then prepping her teeth to give her a handcrafted, customised smile according to her liking.
This lovely lady came to us wanting a brand new smile and functional teeth. She had a snap on smile and a few teeth remaining. She didn't like the snap on smile as it didn't feel right in her mouth. Her options were to either get a full denture or get an implant supported fixed denture. She decided to go with the permanent option and get implants. This consisted of getting 4 implants and then starting with a temporary implant fixed denture before getting a permanent one. This lady is now loving her smile and is feeling more confident everyday.
This lady had a missing back tooth and wanted something in their to replace it. An implant was placed and once it was healed the crown was screwed into the implant with a small screw. The screw is then sealed with a white colour filling.
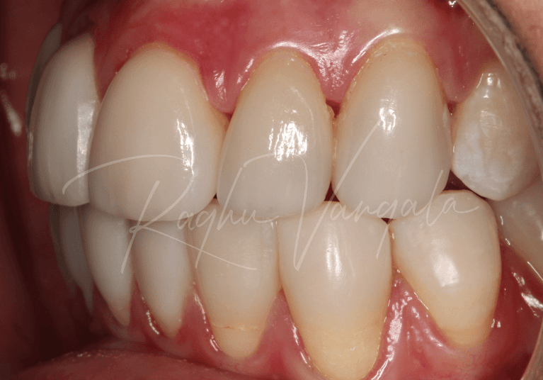
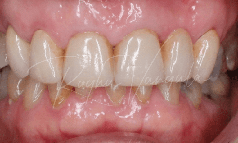
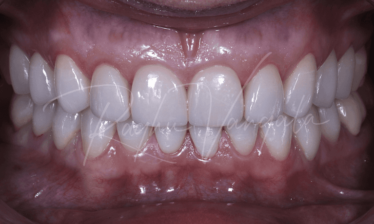
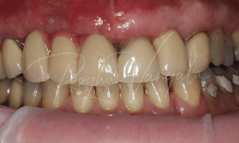
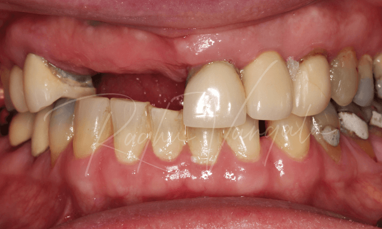
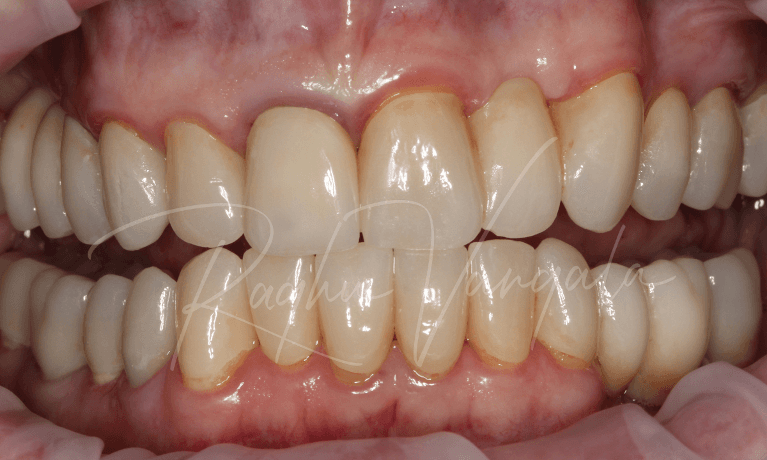
This charming lady initially came to us unhappy with her central incisor (front teeth) veneers and the way they were discolouring, and had 25 and 26 (top premolar and molar) extracted that left a big gap in her mouth. She had also worn down some of her lower teeth, and Dr Raghu explained that it will only keep getting worse over time.
Dr Raghu showed this patient some examples of similar work using photos and 3D printed models. Dr Raghu gave the patient the option of a 'mock up' to see what the end result would look like before we ...
Sometimes, it's understandable. When multiple silver fillings need to be replaced (they are breaking down and causing cracks in teeth), the patient chooses to get them fixed in one appointment. This we call "Quadrant Dentistry". Here, Under Rubberdam ( to prevent swallowing silver fillings and vapour while removing ), we had to replace old silver fillings, treat the decay, and then restore with a filling and custom-made, computer-designed, and milled restoration/fillings. This is a combination of direct and indirect fillings.
Onlays are a good way to conserve tooth structure as an alternative to crowns.
This Patient had his upper front two teeth missing because of an infection, and his teeth were severely worn down.
He didn't like the idea of a removable plate. With careful planning and analysis, we decided to place two implants with crowns in his upper front teeth area, and the other teeth upper teeth were restored with crowns and lower teeth with some build-ups.
This Patient lost her back teeth for various reasons. Moving forward, we had fixed her missing teeth with Dental implants and built her other teeth with a white filling material. With her new smile and back teeth being replaced, she could eat her favourite foods with out any concerns.
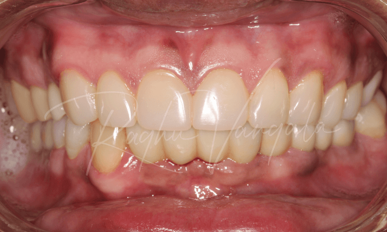
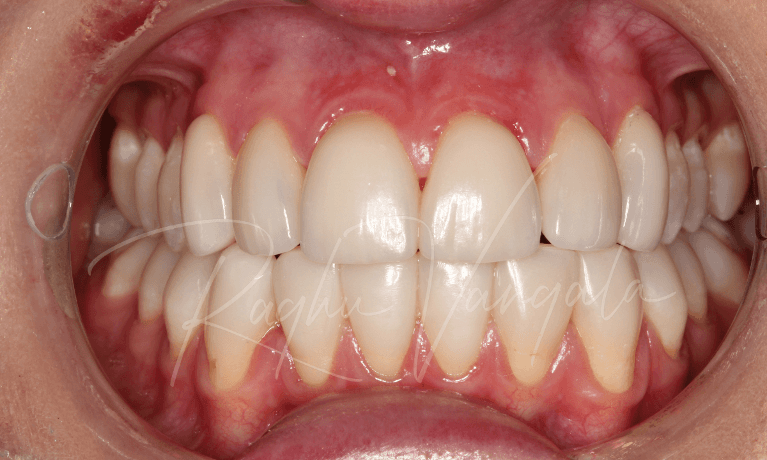
This patient wasn't very happy with her old teeth so we gave her a new smile. This smile is nearly 10 years old and the patient is still going strong and confident.
This lovely lady came to us wanting options to have a beautiful smile again. She had a partial upper plate and a few teeth left on her upper jaw. She wasn't a fan of her partial plate as it didn't feel right in her mouth. Her options for her upper teeth were to either get an upper denture or get implants and get a fixed denture. She decided to go with the permanent option, this consisted of getting her remaining upper teeth out and placing 5 implants. We then placed her upper denture a week later. She is very happy ...
This case reflects our commitment to excellence for over a decade. This patient had issues with his upper front teeth. He lost one of his upper front teeth, and the adjacent tooth developed infection.
The missing tooth was replaced with an implant crown, and the infected tooth was treated with root canal treatment. A porcelain veneer was placed on a different tooth to give more harmony.
This fractured tooth was restored to its original contour by pure filling material.
This lovely lady wanted to rejuvenate her smile. Using our 3D milling machine and an artistic technician we custom designed her new smile. This smile has passed more than a decade and still going great.
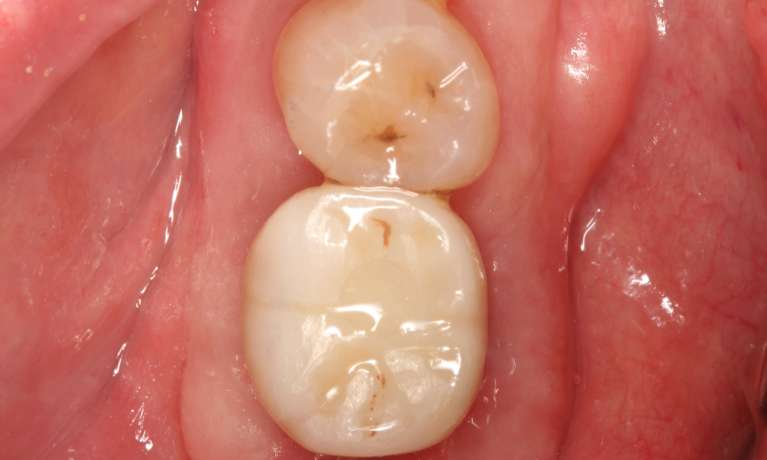
This tooth had experienced multiple cracks in it, so we used a computer designed and hand crafted porcelain cap while preserving as much tooth structure as possible. We call this Onlay. It's done using a rubberdam to prevent inhalation of old silver filling into your system.
This beautiful patient had a missing tooth since her permanent tooth never formed so we placed an implant so she could chew food and smile again.
This enthusiastic lady lost her teeth due to infections. They were replaced with an implant supported bridge. This brought back her old self again.
This lovely lady has had both her kids finish their education. She had her lower teeth missing for a while and wanted to have some fixed teeth put in that space. Since she lost those teeth a while ago, she lost good volume to the bone which is needed for implants. So we first built the bone by adding bone graft and then placed implant supported teeth. She can now chew her food well!
This lovely gentleman had severely broken down teeth due to his sweet tooth. He wanted to have a natural-looking new smile and save his teeth where he could, so we decided to keep the rest of the teeth that were strong and healthy while the missing teeth were replaced with implant crowns. His original teeth were built up with resin-filling material. He has now quit having such a big sweet tooth and is working happily at his workplace with a confident natural natural-looking smile.
This lovely gentleman had his lower teeth missing because he had baby teeth removed and never had permanent teeth. He was concerned about his teeth and worried about the wear on his teeth. We increased his bite and did a smile makeover which also replaced his missing teeth.
This beautiful lady came to us after a terrible accident that had let her top front left tooth fractured. She had seen her local dentist right after the incident who helped her with a temporary filling. The patient was still in a lot of pain and it presented in a very poor condition so Dr Raghu removed the tooth and placed a bone graft in the site to prepare for an implant. A denture with the missing tooth was made so that the patient could it wear while the extraction site healed.
The patient then had the implant placed, and after ...
This lovely patient had a consult with Dr Raghu after having multiple missing teeth and others that kept breaking down.
After a few extensive consults and lots of planning with x-rays, photos and scans, we were able to show the patient what the finished product could look like with a 'mock-up'. The patient was happy so Dr Raghu and team started with temporary work on the top jaw, which included 2 bridges. A few days later the patient came back for the temporary work on the lower jaw, with one bridge as well as crowns. Temporaries were necessary as this patient ...
This great guy had broken his upper front tooth when young, the tooth had undergone various treatments and the tooth had turned dark in colour and broken off at the gum level, the tooth needed to be taken out
The goal of the treatment was not only to replace the missing tooth with an implant, but fix his other front teeth as well. So we gave him a new smile that fixed everything.
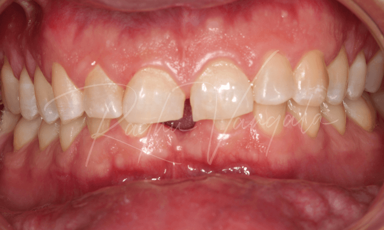
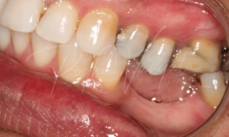
This patient lost one of her upper back tooth after it cracked She didn’t realise that the gap would be seen until its obvious that she is mentioning her tooth when she smiles, since she has wide smile line.
The tooth was removed and a bone graft was placed in the site. Once healed the gap was replaced with a titanium implant and natural like looking implant crown. The crown is screwed to the implant with a small screw and screw channel is sealed with a white colour filling.
This beautiful lady has had discoloured teeth since childhood due to the intake of antibiotics and these are called Tetracycline stains.
They were treated approx 30 years ago, but the colour got worse.
She wanted to change the way they look, so the patient first started by getting braces on with the orthodontist to align the teeth. After her braces came off, this patient did our at home bleaching treatment using POLA products. Once she had reached the desired shade, we removed all of the old work and placed 20 conservative porcelain veneers.
She mentioned that her new smile gave her a new ...
This wonderful patient first came to Dr Raghu with a broken front tooth that had to be removed. There were also multiple other issues and the patient was not 100% happy with the current condition of teeth.
With meticulous planning and keeping her wants and desires in mind, we replaced the missing tooth with an implant and fixed her remaining teeth with crowns and bridges. She is extremely happy with her teeth.
This patient had discoloured teeth because of fluorosis.
She had some composite cosmetic treatment done in Sydney when she was younger, but these were now also starting to discolour as well as starting to chip away.
When she approached us to improve her new smile, keeping it natural looking was very important. Keeping her needs in mind we did a detailed analysis with multiple consults to deliver her new smile with Porcelain veneers and direct veneers, keeping the treatment very conservative and preserving a lot of tooth structure. The patient was happy with her new smile.
This wonderful lady had multiple issues where she had missing teeth that never came through the jawbone, so she was wearing a plate until she saw us.
She wanted a new, natural smile. So, using a combination of Porcelain veneers, crowns, and Bridges, we designed a custom-made smile that gave her a new natural smile.