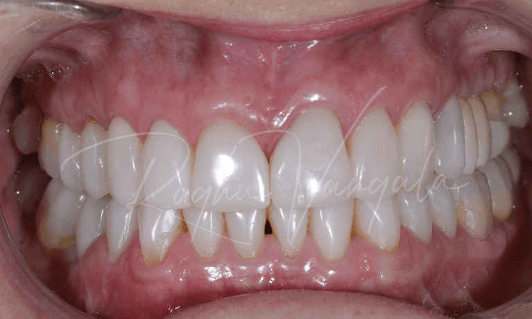
Crowns and Bridges

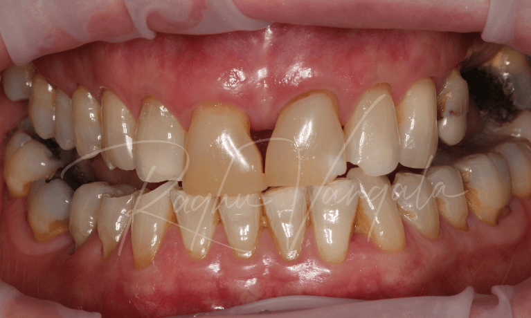
When teeth are damaged or missing, there is more at stake than just the way you look. A tooth that is damaged and goes untreated can easily become a tooth that needs to be pulled. A missing tooth that is not replaced can compromise the health of the rest of the teeth in your mouth.

At Tamworth Oral Health and Dental Care, we can restore teeth with dental crowns and replace missing teeth with dental bridges. We are pleased to offer CEREC, same-day technology to our patients so you can get your treatment all in one appointment. We welcome your call to our Tamworth, NSW dental clinic for more information about dental crowns and bridges.

Dental Crowns

Dental crowns are sometimes referred to as tooth ‘caps’ because of the way they fit onto a tooth much like a hat fits on your head. Dental crowns repair damaged teeth by completely covering a prepared tooth structure. They look just like your natural teeth, so they blend in seamlessly. Strong and durable, they can withstand the forces of chewing.

We use dental crowns in the following situations:

  • To repair a tooth that is broken. When a tooth has a break or crack, the entire structure becomes weak, and further fractures are likely. With a dental crown, the entire tooth can be restored—and saved.
  • For large dental fillings that cannot be replaced. Over time, large fillings can become worn and can even cause fractures in the tooth. A dental crown is usually needed rather than a replacement filling because too much of the tooth structure has been removed.
  • As part of a dental bridge. Teeth on either side of where a dental bridge is to be placed are usually crowned to hold the bridge into place.
  • To top a dental implant. The crown is the final part of the dental implant process.
  • As part of root canal treatment. When the pulp is removed from a tooth during a root canal, the remaining tooth structure can become brittle and susceptible to fracture. A dental crown will strengthen it.
  • For cosmetic improvement. If a tooth is oddly shaped or badly stained, sometimes a dental crown is used to improve the look of the smile.

Dental Bridges

Dental bridges are used to replace one or more missing teeth using the teeth adjacent to the space as anchors for the bridge. This provides the prosthetic with stability and prevents it from moving when you speak or chew.

CEREC Technology

With CEREC technology, we can create dental crowns right here in our dental surgery while you wait using computer-aided design software. The result is a strong restoration that is made to blend in with the rest of the teeth in your mouth. CEREC crowns are quicker to design, produce and place, but these all-ceramic restorations are strong and durable. Because there is no metal used in CEREC crowns, there will be no metal ring at the bottom of your crown.

Don’t put your healthy teeth at risk. We welcome your call to our Tamworth, NSW dental clinic, and we can go over your options for dental crowns or bridges. We warmly welcome new patients.