Skip to main content
Extractions
Tooth Extractions With Compassion

We provide a relaxing, comfortable environment where you can get needed tooth extractions.

Extractions | Dentist
The Dentists Here Offer Kind and Gentle Care
Learn More

Extractions

In the days before modern dentistry, dental extraction was not uncommon. Today, preserving natural teeth is the best route to take whenever possible. Extraction is almost always a treatment of last resort, and at our Tamworth, NSW dental surgery, we do not take it lightly. We strive to promote good oral health so that you can lead a healthier life and eat the foods you love.

We recommend dental extractions only when we have exhausted all other possibilities of treatment and removing a tooth is needed to protect your health, eliminate symptoms or reduce pain.

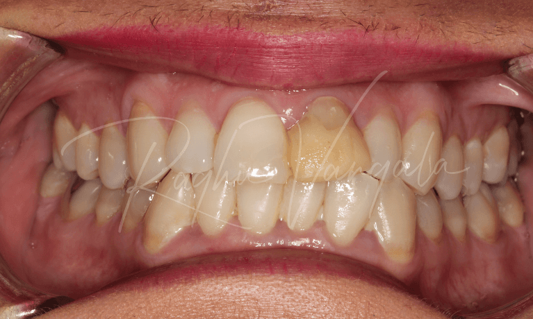
Why a Tooth Might Need Extraction

When a tooth has been infected or damaged beyond the ability for it to be restored or fixed, it has to be extracted or 'pulled.' If periodontal (gum) disease has progressed too far, this can also prompt the need for a tooth to be extracted. Additionally, if there is crowding in the jaw because of inadequate room, extracting a tooth can protect the rest of the teeth in your mouth.

Often crowding is caused by the appearance of wisdom teeth, which are large third molars that most people get when they are in their late teens or early twenties. In many cases, extracting the wisdom teeth, whether they have fully erupted or still linger below the surface of the gum, is the best course of action.

Wisdom Teeth Extraction

Although most dentists will perform simple extractions, not all will extract wisdom teeth. At Tamworth Oral Health and Dental Care, we extract third molars, which often come in with problems because there is little room in the jaw for them. Or they may remain just below the surface of the gums with breaking through, which means they are impacted.

Sometimes, there is not enough space for the wisdom teeth to come through, and they can become wedged in (impacted). This often makes it difficult to clean the area properly and can lead to painful gum infections and tooth decay. Crowding of the front teeth can also occur. Many of our patients come in complaining of pain because their wisdom teeth are putting too much pressure on their jaw and other teeth.

Since not all wisdom teeth will cause problems, our dentists will assess your situation before recommending treatment.

The Extraction Process

A simple extraction can be performed when there is plenty of tooth above the gum line, and enough of it is intact so your dentist can remove it completely.

For an impacted tooth, or when there isn’t enough of the tooth available above the gum line for your dentist to pull it out, you might need a surgical extraction. For a surgical extraction, your dentist will make a small incision in the gums at the tooth site. They may also remove some of the surrounding bone and cut the tooth to allow easier and gentle removal of the tooth. After the extraction, the dentist will place stitches to close the wound and promote healing. 

 At Tamworth Oral Health and Dental Care, our dentists are trained to provide effective local anaesthetic, to ensure you have a painless procedure. When extraction is necessary, you can rest assured you are in good hands with our dentists. We invite you to call our dental surgery to learn more.


All surgical procedures carry risks, and we always encourage you to obtain a second opinion.

Frequently Asked Questions

The dentists in our clinic— Dr Raghu Vangala, Dr Shabana Vangala, Dr Mervin Liang, Dr Amy Badenoch, Dr Deepthi Healy and our OHT Sarah Stone — all have their own specialties. These range from general six-month check-ups all the way to more complex dentistry such as dental implants and grafting—and everything in between. This means our patients can receive the most comprehensive dentistry all under one roof. We can also see every member of your family, from the oldest to the youngest.

We offer the following general dentistry treatments:

  • Preventive care
  • Tooth-coloured fillings
  • Root canal treatment
  • Extractions
  • Crowns and bridges (including same-day CEREC crowns)
  • Dental implants (including All-On-Four dental implants)

If your oral health is already good but you don’t like the way your smile looks, we also offer cosmetic dentistry:

  • Teeth whitening
  • Veneers
  • Dental bonding
  • Dental crowns
  • Smile Rehabilitation

We recommend coming in twice each year for routine examinations and dental cleans. This enables our experienced team to help you stay on top of your oral health. Seeing us regularly means we can detect small issues while they are in their earliest stages—before they become big problems. It also means we can check your gum health and screen for oral cancer.

We warmly welcome new patients to our Tamworth, NSW dental clinic.

Meet Our Doctor:

Dr Raghu Vangala
Principle Dentist (DEN0001318090) Registered Dentist - General Registration

Schedule a Dental Appointment By Phone or Online
Contact Us