Skip to main content
Veneers
Taking Smiles from Dull to Dazzling

With veneers, we can cover up a multitude of issues you don't like about your smile, including teeth that are gapped, chipped or misaligned.

Veneers | Dentist
Book a Consult to Learn about Improving Your Smile
Contact Us

Veneers

Are you unhappy with your smile? Perhaps you take good care of your oral health, but you don’t like the way your smile looks. When you cover up your smile or feel self-conscious about it, you might be sending the wrong message to those around you.

Do you feel it’s time to do something about it?

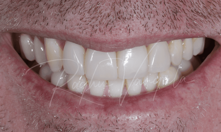
At Tamworth Oral Health and Dental Care, we offer a number of cosmetic dentistry solutions for your smile, including porcelain veneers. Porcelain veneers have provided dramatic results for many patients of our Tamworth, NSW dental clinic.

How Porcelain Veneers Work

Porcelain veneers are thin, translucent shell-like restorations that cover the front surface of the teeth that show when you smile. Because they cover up dental issues, we can make dramatic changes to your smile without lengthy treatment such as orthodontics. Veneers are permanently applied to the teeth after we remove a bit of the tooth structure to accommodate them.

The Aesthetics Porcelain Veneers Can Correct

We like porcelain veneers because they are such a versatile cosmetic dentistry treatment. Veneers can camouflage a number of smile flaws, including:

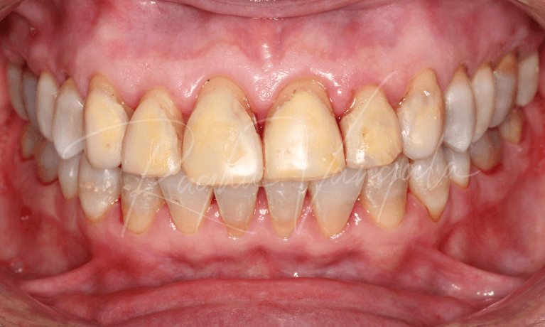
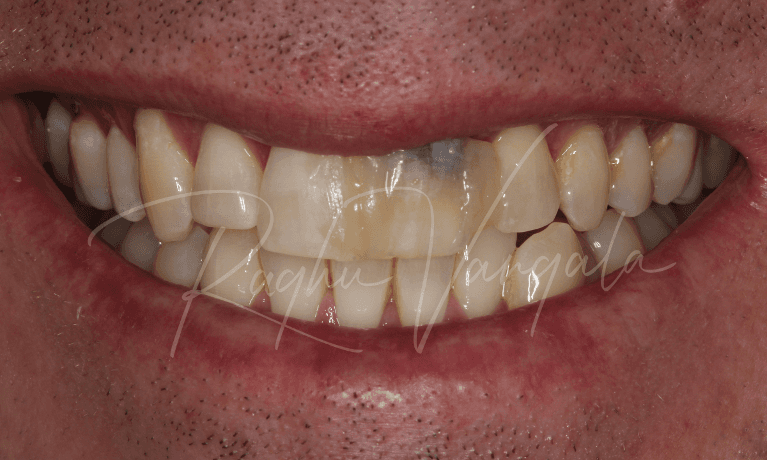
  • Severely stained teeth that are resistant to teeth bleaching
  • Chipped, cracked or broken teeth
  • Oddly shaped teeth
  • Gapped or unevenly spaced teeth
  • Misaligned, overlapped or crooked teeth

Imagine having these dental issues hidden by a perfectly straight, white smile—in just a couple of visits to our Tamworth, NSW dental clinic.

The Porcelain Veneers Procedure

After we’ve determined that you are a good candidate for veneers, we will work with you to help determine your smile goals and the best way to achieve those results. Based on the shape of your smile and the size of your teeth, we will customise a treatment plan to help you get the smile you have always wanted.

Once we determine how your new restorations will look, we will prepare your teeth for the veneers by removing a small amount of the surface. This will prevent your teeth from having a too-thick look and give you a more natural-looking smile.

We will make impressions of the prepared teeth to create your veneers. Depending on your needs, we will either send these to an outside laboratory or our CEREC machine for in-office fabrication. If we send your impressions out, we will place temporary veneers that will remain until your final fitting.

Once your veneers are ready, we’ll adjust the fit as needed and bond them to your teeth.

Getting Porcelain Veneers

It’s exciting to think about transforming your appearance, and the best way to get started is by scheduling a booking at our Tamworth, NSW to learn more about veneers. You may be a good candidate for veneers if you enjoy good oral health. If you have any dental issues, such as decay or gum disease, we’ll need to address those first.

Veneers are a permanent dental restoration because we must alter your teeth to accommodate them. Long-lasting, veneers can last a decade or longer with proper care. Eventually, however, they may need to be replaced.

We welcome your call to learn more about changing your smile for the better with porcelain veneers.

Frequently Asked Questions

The dentists in our clinic— Dr Raghu Vangala, Dr Shabana Vangala, Dr Mervin Liang, Dr Amy Badenoch, Dr Deepthi Healy and our OHT Sarah Stone — all have their own specialties. These range from general six-month check-ups all the way to more complex dentistry such as dental implants and grafting—and everything in between. This means our patients can receive the most comprehensive dentistry all under one roof. We can also see every member of your family, from the oldest to the youngest.

We offer the following general dentistry treatments:

  • Preventive care
  • Tooth-coloured fillings
  • Root canal treatment
  • Extractions
  • Crowns and bridges (including same-day CEREC crowns)
  • Dental implants (including All-On-Four dental implants)

If your oral health is already good but you don’t like the way your smile looks, we also offer cosmetic dentistry:

  • Teeth whitening
  • Veneers
  • Dental bonding
  • Dental crowns
  • Smile Rehabilitation

We recommend coming in twice each year for routine examinations and dental cleans. This enables our experienced team to help you stay on top of your oral health. Seeing us regularly means we can detect small issues while they are in their earliest stages—before they become big problems. It also means we can check your gum health and screen for oral cancer.

We warmly welcome new patients to our Tamworth, NSW dental clinic.

Meet Our Doctor:

Dr Raghu Vangala
Principle Dentist (DEN0001318090) Registered Dentist - General Registration

Featured Blog Posts - Veneers

October 12, 2025

How Long Do Porcelain Veneers Typically Last?

Porcelain veneers are a popular treatment option used to improve the appearance of teeth, particularly in cases involving discolouration, minor misalignment, or uneven shape. One of the most commonly asked questions by patients considering this procedure is about the longevity of these restorations. This guide explores the average lifespan of porcelain veneers, the factors that affect their durability, how to maintain them, and when replacement might be required. 

You Could Have the Smile You Have Dreamed Of
Reach Our Clinic