Skip to main content
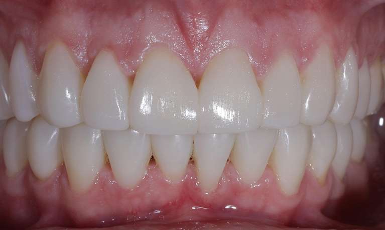
Teeth Whitening
Everyone Loves a Brighter, Whiter Smile

Your age and lifestyle habits can take a toll on your smile, making your teeth look yellow and stained. Teeth whitening can help.

Teeth Whitening | Dentist
We Offer Whitening That Is Customised for You
Find Out More

Teeth Whitening

At Tamworth Oral Health and Dental Care, our dentists know that it can be disheartening to have stained or yellowed teeth. Perhaps you are preparing for a big event such as a wedding or a new job, and while you admire your new outfit in the mirror, you realise your smile is not what it could be.

Often your smile is the first thing people notice about you, and nothing makes a better first impression than having a beautiful, white smile. Having a bright smile can also make you feel more confident because the more you show your smile, the better it can make you feel—as well as those around you.

Professional teeth whitening at our Tamworth, NSW dental clinic continues to grow in popularity because it is a budget-friendly cosmetic dentistry treatment that can change the look of your smile.

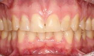
Why Smiles Become Dull

Over time, your teeth collect stains. Years of drinking coffee, tea and red wine, not to mention lifestyle habits such as smoking, leave teeth discoloured. The ageing process also impacts the colour of our teeth as more of the yellow-coloured dentin beneath the tooth enamel is revealed through the years.

All the toothbrushing in the world cannot remove these stubborn stains.

Professional Tooth Whitening Versus Other Whitening Products

Go to any chemist’s, and you’ll see a wide array of tooth whitening products in the form of gels, strips, pastes and mouthwashes. As many of our patients who have tried these, not all whitening products are created equal. Results are often disappointing because none of these products is designed for the size or shape of your teeth. Without custom-made trays to ensure as much of the bleaching agent possible is encountering the surface of your teeth, results are inconsistent at best and cause sensitivity at worst.

When you opt for professional tooth whitening under the care of your dentist, you can rest assured that the professional-strength gel is applied properly for maximum results. You can choose in-chair whitening treatment, which takes about an hour, or you can choose take-home whitening trays that are custom-made to fit your teeth precisely. With the latter, you will wear the trays for a specific period of time each day for a couple of weeks.

Helping Your Whitening Results Last Longer

Once you have undergone professional teeth whitening treatment, you will want to do all you can to protect your investment. The best way to do this is to avoid those habits that initially caused the stains.

Avoid foods and beverages that cause staining. If you do indulge, rinse your mouth with water afterwards until you can brush your teeth.

Smoking and tobacco use are notorious for causing yellow teeth, so avoid these habits as well. Your teeth—and your overall health—will thank you.

Be sure to visit your dentist twice each year for check-ups and cleans. A polish of the tooth surface is part of the cleaning process, and this will help remove surface stains from the teeth.

Getting Started with Professional Whitening Treatment

Our Tamworth, NSW cosmetic dentists recommend that you undergo a full examination and teeth cleaning before undergoing whitening treatment. This will rule out any potential dental issues and will also ensure that you can enjoy the best results possible. We welcome your call to schedule a booking.

Frequently Asked Questions

The dentists in our clinic— Dr Raghu Vangala, Dr Shabana Vangala, Dr Mervin Liang, Dr Amy Badenoch, Dr Deepthi Healy and our OHT Sarah Stone — all have their own specialties. These range from general six-month check-ups all the way to more complex dentistry such as dental implants and grafting—and everything in between. This means our patients can receive the most comprehensive dentistry all under one roof. We can also see every member of your family, from the oldest to the youngest.

We offer the following general dentistry treatments:

  • Preventive care
  • Tooth-coloured fillings
  • Root canal treatment
  • Extractions
  • Crowns and bridges (including same-day CEREC crowns)
  • Dental implants (including All-On-Four dental implants)

If your oral health is already good but you don’t like the way your smile looks, we also offer cosmetic dentistry:

  • Teeth whitening
  • Veneers
  • Dental bonding
  • Dental crowns
  • Smile Rehabilitation

We recommend coming in twice each year for routine examinations and dental cleans. This enables our experienced team to help you stay on top of your oral health. Seeing us regularly means we can detect small issues while they are in their earliest stages—before they become big problems. It also means we can check your gum health and screen for oral cancer.

We warmly welcome new patients to our Tamworth, NSW dental clinic.

Meet Our Doctor:

Dr Raghu Vangala
Principle Dentist (DEN0001318090) Registered Dentist - General Registration

We Look Forward to Seeing Your Smile
Contact Us