Direct Bonding and Implants
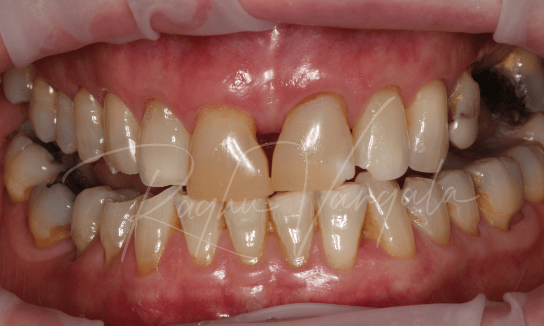
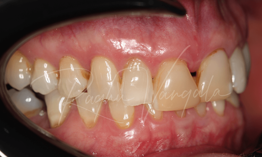
This charming lady initially came to us unhappy with her central incisor (front teeth) veneers and the way they were discolouring, and had 25 and 26 (top premolar and molar) extracted that left a big gap in her mouth. She had also worn down some of her lower teeth, and Dr Raghu explained that it will only keep getting worse over time.
Dr Raghu showed this patient some examples of similar work using photos and 3D printed models. Dr Raghu gave the patient the option of a 'mock up' to see what the end result would look like before we started any treatment, patient went ahead with this.
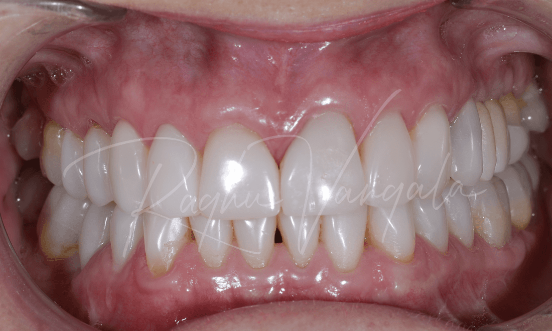
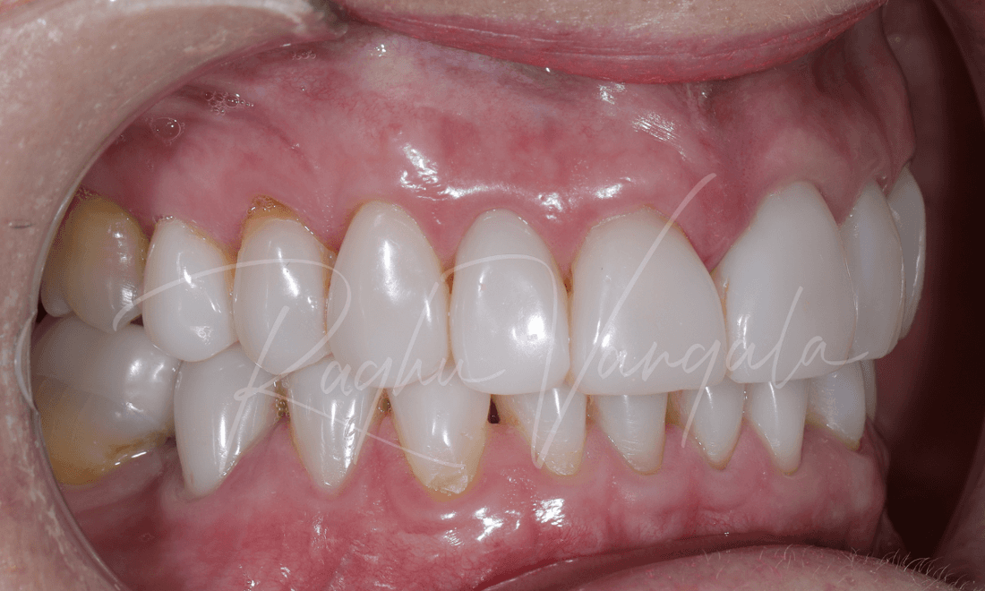
The patient was very happy with the end result and was happy to proceed with the treatment.
After multiple consults, lots of photos and planning, we were able to give the patient her rejuvenated smile using direct bonding techniques, implants, and CEREC (made in house) crowns.





