Tamworth Dental Care
A Great Dentist
Our clinic will be closed on December 25th, 26th and January 1st. Please note that on December 29th and January 2nd, we will be accepting phone calls but no appointments. 

Call us on (02) 6766 2316 or book online here. 

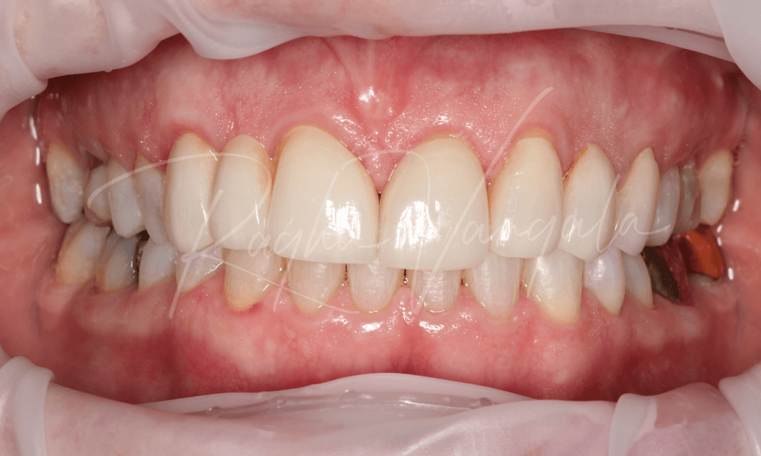
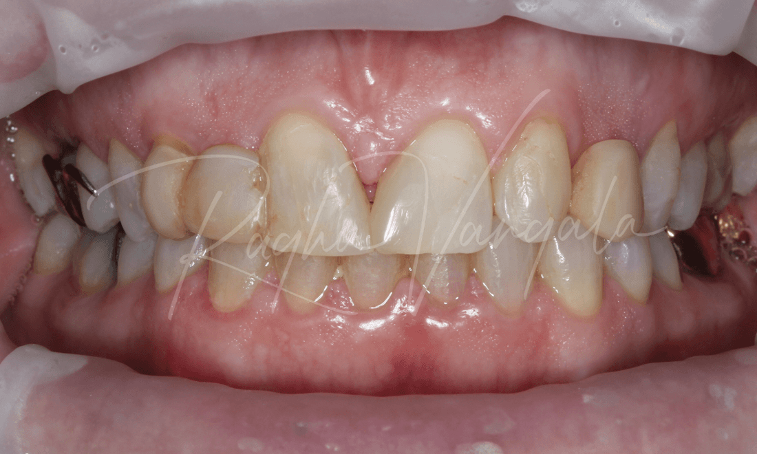
Smile Makeover

This wonderful lady had multiple issues where she had missing teeth that never came through the jawbone, so she was wearing a plate until she saw us.

She wanted a new, natural smile. So, using a combination of Porcelain veneers, crowns, and Bridges, we designed a custom-made smile that gave her a new natural smile.

Have Questions? Get in Touch
Any surgical or invasive procedure carries risks, and we recommend seeking a second opinion from an appropriately qualified health practitioner before proceeding.
Any surgical or invasive procedure carries risks. Before proceeding, you should seek a second opinion from an appropriately qualified health practitioner.